«Διαφραγματοκήλη με μια ματιά»
- Πόσο συχνή είναι: Συχνό εύρημα, ιδίως μετά τα 50· μεγάλο ποσοστό ασθενών με ΓΟΠ έχει ταυτόχρονα διαφραγματοκήλη.
- Τυπικά συμπτώματα: καούρες/όξινες αναγωγές, αίσθημα καύσου πίσω από το στέρνο, δυσφαγία ή αίσθημα «κόμπου», φούσκωμα και ρεψίματα.
- Πότε είναι επείγον: αιματέμεση ή μαύρα κόπρανα, έντονος θωρακικός πόνος με εμέτους, επίμονη δυσκολία στην κατάποση, δύσπνοια ή υποψία εισρόφησης.
- Πότε χρειάζεται χειρουργείο: όταν τα συμπτώματα δεν ελέγχονται με φάρμακα ή υπάρχει μεγάλη/παραοισοφαγική κήλη, επιπλοκές ή σημαντική επιδείνωση ποιότητας ζωής.
- Οριστική λύση: αποκατάσταση διαφράγματος με λαπαροσκοπική ή ρομποτική αντι-παλινδρομική επέμβαση (Nissen/Toupet) από εξειδικευμένο χειρουργό.
Τι είναι η Διαφραγματοκήλη (Hiatal Hernia)
Το διάφραγμα φέρει εκτός των άλλων και ένα βασικό άνοιγμα (τρήμα) δια μέσω του οποίου ο οισοφάγος φέρεται από τον θώρακα στην κοιλιά και ενώνεται με τον στόμαχο. Η χαλαρότητα ή η ανατομική ανωμαλία κατά την οποία το άνοιγμα αυτό “ανοίγει”, επιτρέπει την παλίνδρομη μετατόπιση του στομάχου στον θώρακα, και καλείται διαφραγματοκήλη. Τα βασικά συμπτώματα της διαφραγματοκήλης εξαρτώνται κύρια από την παλινδρόμηση υγρών του στομάχου στον οισοφάγο, με επακόλουθο την οισοφαγίτιδα (προκάρδιος-οπισθοστερνικός καύσος), κοινώς “καούρα”.
Τύποι Διαφραγματοκήλης
Οι τύποι της διαφραγματοκήλης (Hiatal Hernia) χωρίζονται σε τέσσερις κατηγορίες: Τύπος I (ολισθαίνουσα), όπου η γαστροοισοφαγική συμβολή και τμήμα του στομάχου μετακινούνται παροδικά προς τον θώρακα και συχνά σχετίζεται με γαστροοισοφαγική παλινδρόμηση· Τύπος II (παραοισοφαγική), όπου ο θόλος του στομάχου «γλιστρά» δίπλα στον οισοφάγο ενώ η συμβολή μένει στη θέση της—μπορεί να προκαλέσει επιπλοκές όπως στραγγαλισμό/αιμορραγία· Τύπος III (μικτή), συνδυασμός των I και II με ανύψωση τόσο της συμβολής όσο και του στομάχου στον θώρακα· και Τύπος IV, όπου ανέρχονται και άλλα ενδοκοιλιακά όργανα (π.χ. εντερικές έλικες, σπλήνας) στη θωρακική κοιλότητα, κατάσταση που θεωρείται πιο σοβαρή και συνήθως απαιτεί άμεση χειρουργική επιδιόρθωση.
Τύπος I — Ολισθαίνουσα (Sliding)
- Ανατομία: Η ΓΟΣ και τμήμα του στομάχου ανέρχονται παροδικά στον θώρακα.
- Σχέση με ΓΟΠ: Συχνή· κύριο σύμπτωμα καούρες/αναγωγές.
- Κίνδυνοι/Επιπλοκές: Συνήθως χαμηλοί (σπάνια στραγγαλισμός).
- Κλινική πρακτική: Συντηρητική αγωγή πρώτης γραμμής· χειρουργείο όταν αποτυγχάνει η φαρμακευτική αγωγή ή συνυπάρχουν επιπλοκές ΓΟΠ.
Τύπος II — Παραοισοφαγική (True PEH)
- Ανατομία: Η ΓΟΣ μένει στη θέση της, αλλά ο θόλος του στομάχου «γλιστρά» παράπλευρα στον θώρακα.
- Σχέση με ΓΟΠ: Όχι υποχρεωτική.
- Κίνδυνοι/Επιπλοκές: Στρέψη/στραγγαλισμός, ισχαιμία, αιμορραγία — δυνητικά επείγοντα.
- Κλινική πρακτική: Συχνά χειρουργική αντιμετώπιση λόγω κινδύνου επιπλοκών, ακόμη και με ήπια συμπτώματα.
Τύπος III — Μικτή (Sliding + Paraesophageal)
- Ανατομία: Ανέρχονται και η ΓΟΣ και τμήμα του στομάχου στον θώρακα.
- Σχέση με ΓΟΠ: Συχνή, αλλά υπάρχουν και μη-ΓΟΠ συμπτώματα (π.χ. δυσφαγία, πόνος).
- Κίνδυνοι/Επιπλοκές: Ενδιάμεσο–υψηλό ρίσκο στραγγαλισμού/στρέψης.
- Κλινική πρακτική: Χειρουργείο σε συμπτωματικούς ή με σημεία κινδύνου/μεγάλες κήλες.
Τύπος IV — Με συμμετοχή άλλων σπλάχνων
- Ανατομία: Πέρα από το στομάχι, ανέρχονται και άλλα όργανα (π.χ. λεπτό/παχύ έντερο, σπλήνας) στον θώρακα.
- Σχέση με ΓΟΠ: Δευτερεύουσα—κυριαρχούν μηχανικά/αναπνευστικά συμπτώματα.
- Κίνδυνοι/Επιπλοκές: Οι υψηλότεροι—απόφραξη, ισχαιμία, αναπνευστική δυσχέρεια.
- Κλινική πρακτική: Συνήθως χειρουργική αποκατάσταση λόγω βαρύτητας/κινδύνων.
Μπορείτε να διαβάσετε γιά την Γαστροοισοφαγική Παλινδρόμηση (ΓΟΠ) στο ειδικό μας άρθρο.
Επιδημιολογία διαφραγματοκήλης
Η διαφραγματοκήλη (Hiatal Hernia) είναι πολύ συχνό εύρημα στον γενικό πληθυσμό, ιδιαίτερα στις ανεπτυγμένες χώρες της Βόρειας Αμερικής και της Δυτικής Ευρώπης. Η συχνότητά της αυξάνεται σημαντικά με την ηλικία: εκτιμάται ότι περίπου οι μισοί έως και έξι στους δέκα ενήλικες άνω των 50 ετών παρουσιάζουν κάποια μορφή διαφραγματοκήλης σε ακτινολογικό ή ενδοσκοπικό έλεγχο, αν και μόνο ένα μικρό ποσοστό εμφανίζει συμπτώματα.
Η μεγάλη πλειονότητα των περιστατικών (περίπου 90–95%) αφορά τη λεγόμενη ολισθαίνουσα διαφραγματοκήλη (τύπου Ι), ενώ οι παραοισοφαγικές μορφές (τύπου ΙΙ και ΙΙΙ) είναι σαφώς σπανιότερες, αλλά συνδέονται συχνότερα με επιπλοκές. Η πάθηση σχετίζεται στενά με τη γαστροοισοφαγική παλινδρόμηση (ΓΟΠ): σε ομάδες ασθενών με συμπτωματική ΓΟΠ το ποσοστό διαφραγματοκήλης μπορεί να φτάσει ή και να ξεπεράσει το 40–50%.
Παράγοντες που αυξάνουν τον κίνδυνο εμφάνισης διαφραγματοκήλης είναι η παχυσαρκία, η χρόνια αύξηση της ενδοκοιλιακής πίεσης (χρόνιος βήχας, δυσκοιλιότητα, άρση βάρους), η εγκυμοσύνη, καθώς και η προχωρημένη ηλικία με τη φυσιολογική χαλάρωση των ιστών του διαφράγματος.Λόγω της συχνά «σιωπηλής» κλινικής εικόνας, μεγάλο μέρος των περιστατικών διαγιγνώσκεται τυχαία κατά τη διάρκεια ενδοσκόπησης ή απεικονιστικού ελέγχου για άλλα αίτια.
Συμπτώματα & Red Flags
Συνήθη συμπτώματα (διαφραγματοκήλης)
- Καούρα & όξινες αναγωγές (ιδίως μετά το φαγητό ή όταν ξαπλώνετε).
- Αίσθημα «κόμπου» ή καύσου πίσω από το στέρνο, επιδεινούμενο σε κάμψη/ξάπλωμα.
- Δυσφαγία ή αίσθημα «κολλήματος» της τροφής.
- Μετεωρισμός, ρεψίματα, φούσκωμα και πρώιμος κορεσμός.
- Θωρακικός πόνος μη καρδιακής αιτιολογίας (καψίματα που ανακουφίζονται με αντιόξινα).
- Χρόνιος βήχας, βράγχος φωνής, ιδιαίτερα πρωινές ώρες.
- Νυχτερινά επεισόδια πνιγμονής/βήχα λόγω εισρόφησης γαστρικού περιεχομένου.
- Κακοσμία αναπνοής, όξινη γεύση στο στόμα.
- Κόπωση (συχνά από κακό ύπνο λόγω παλινδρόμησης).
Red Flags – «καμπανάκια» που απαιτούν άμεση εκτίμηση
- Αναιμία (ιδίως σιδηροπενική): ωχρότητα, εύκολη κόπωση, ζάλη.
- Αιμορραγία από το ανώτερο πεπτικό:
- Αιματέμεση (έμετος με αίμα/«καφέ» υλικό)
- Μέλαινες κενώσεις (μαύρα, πίσσα-όμοια κόπρανα)
- Οξύς, έντονος θωρακικός πόνος με εμέτους, κοιλιακό άλγος, αδυναμία λήψης υγρών/τροφής → υποψία στρέψης/ισχαιμίας παραοισοφαγικής κήλης.
- Συνεχής εμετός, έντονη δυσφαγία ή σάλια που δεν καταπίνονται.
- Δύσπνοια, συριγμός ή επαναλαμβανόμενα επεισόδια εισρόφησης/πνευμονίας, ειδικά τη νύχτα.
- Ανεξήγητη απώλεια βάρους, επίμονος πόνος ή πυρετός.
- Συγκοπτικά επεισόδια (λιποθυμία) ή έντονη ταχυκαρδία με τα παραπάνω.
Πότε να πάτε άμεσα σε ΤΕΠ/Ιατρείο:
Οξύς θωρακικός πόνος με εμέτους, αιματέμεση ή μαύρα κόπρανα, επίμονη δυσκολία στην κατάποση/εμετοί, ή έντονη δύσπνοια/υποψία εισρόφησης.
Σημείωση για ηλικιωμένους/ευάλωτους: Μπορεί να μην εμφανίζουν τυπική καούρα· η ανεξήγητη αναιμία ή οι αναπνευστικές λοιμώξεις μπορεί να είναι η πρώτη εκδήλωση παραοισοφαγικής κήλης.
Αναλυτικός Διαγνωστικός Αλγόριθμος
-
Κλινική υποψία (καούρα/αναγωγές, δυσφαγία, βήχας/εισρόφηση, πόνος)
- ΕΛΕΓΧΟΣ «Red Flags» (αιμορραγία, αναιμία, απότομη δυσφαγία/εμετοί, απώλεια βάρους, δύσπνοια)
- ΝΑΙ → Επείγουσα/άμεση εκτίμηση:
- Πρώτα ΓΑΣΤΡΟΣΚΟΠΗΣΗ (αιμορραγία/έλκη/οισοφαγίτιδα/Barrett)
- +/− CT Θώρακος–Άνω Κοιλίας αν υποψία παραοισοφαγικής κήλης/συστροφής/ισχαιμίας
- Βαριούχος Α/Σ αν θέλουμε δυναμική απεικόνιση/συστροφη
- ΟΧΙ → Προχωράμε διαγνωστικά με βάση το σύμπτωμα και τον στόχο
-
Στόχος: «Έχω ΓΟΠ; Πόσο βαριά; Υπάρχει κήλη;»
- Πρώτη εξέταση συνήθως: ΓΑΣΤΡΟΣΚΟΠΗΣΗ (EGD)
- Εκτιμά βλεννογόνο (οισοφαγίτιδα/Barrett), μέγεθος/τύπο κήλης, οισοφαγικό στόμιο (Hill grade)
- Απαραίτητη σε red flags, ανθεκτικά συμπτώματα, >50–60 ετών, προεγχειρητικά
- Συμπληρωματικά: ΒΑΡΙΟΥΧΟΣ ΟΙΣΟΦΑΓΟΓΑΣΤΡΟΣΚΟΠΗΣΗ
- Καλύτερη αναπαράσταση ανατομίας/δυναμικής (ολισθαίνουσα vs παραοισοφαγική, μήκος οισοφάγου)
- Χρήσιμη σε δυσφαγία, υποψία συστροφής/volvulus, μεγάλες κήλες, «short esophagus»
- Πρώτη εξέταση συνήθως: ΓΑΣΤΡΟΣΚΟΠΗΣΗ (EGD)
-
Στόχος: «Σχεδιάζω επέμβαση; Τι θολοπλαστική;»
- ΜΑΝΟΜΕΤΡΙΑ ΥΨΗΛΗΣ ΑΝΑΛΥΣΗΣ (HRM) – προεγχειρητικά σε όλους
- Αποκλεισμός αχαλασίας/μείζονος διαταραχής κινητικότητας
- Καθοδηγεί επιλογή Nissen (360°) vs Toupet (270°) όταν υποτονική περισταλτική
- pH-IMPEDANCE (24ωρο)
- Τεκμηριώνει παθολογική παλινδρόμηση όταν η διάγνωση ΓΟΠ δεν είναι «κλινικά αυτόδηλη»
- Προεγχειρητικά, ιδίως αν τα ευρήματα EGD είναι ήπια/φυσιολογικά
- Off-PPI για αρχική τεκμηρίωση / On-PPI σε «ανθεκτικά παρά τα PPI» συμπτώματα
- ΜΑΝΟΜΕΤΡΙΑ ΥΨΗΛΗΣ ΑΝΑΛΥΣΗΣ (HRM) – προεγχειρητικά σε όλους
-
Στόχος: «Υποψιάζομαι επιπλοκή ή άλλη παθολογία;»
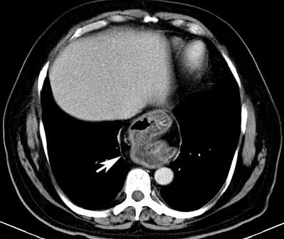
- CT ΘΩΡΑΚΟΣ–ΑΝΩ ΚΟΙΛΙΑΣ
- Παραοισοφαγική κήλη με επιπλοκές (συστροφή, απόφραξη, ισχαιμία), οξεία εικόνα θώρακα/κοιλίας
- Αναπνευστικά συμπτώματα/εισρόφηση, διαφορική διάγνωση πόνου στο στήθος
- Άλλες εξετάσεις κατά περίπτωση
- Σπινθηρογράφημα κενώσεως/γαστρική κένωση: αν υποψία γαστροπάρεσης
- Α/Α θώρακος: έμμεσες ενδείξεις (αεροχώρος πίσω από καρδιά κ.λπ.)
- CT ΘΩΡΑΚΟΣ–ΑΝΩ ΚΟΙΛΙΑΣ
-
Προεγχειρητικό «πακέτο» τεκμηρίωσης (fundoplication/LINX/TIF/επιδιόρθωση κήλης)
- EGD + Βαριούχος: μορφολογία, μέγεθος, τύπος κήλης, μήκος οισοφάγου
- HRM: κινητικότητα – αποφυγή σφιχτής περιέλιξης σε υποτονικό οισοφάγο
- 24ωρο pH-impedance: απόδειξη παθολογικής ΓΟΠ (ιδίως χωρίς σοβαρή οισοφαγίτιδα)
- +/− CT αν υποψία μεγάλης/παραοισοφαγικής κήλης ή επιπλοκών
Δείτε γιά 24ωρη pHμετρία οισοφάγου (pH-impedance)στο ειδικό άρθρο μας
Προεγχειρητικός έλεγχος
- Ενδοσκόπηση οισοφάγου-στομάχου
- Πρέπει να προηγείται σε όλους τους ασθενείς.
- Επιβεβαιώνει τη Γαστροοισοφαγική Παλινδρόμηση, ελέγχει τυχόν βλεννογονικές ανωμαλίες και επιτρέπει την λήψη βιοψιών.
- 24ωρος pHμετρία
- Σημαντική για ασθενείς, όπου η διάγνωση της Γαστροοισοφαγικής Παλινδρόμησης δεν μπορεί να επιβεβαιωθεί ενδοσκοπικά ή υπάρχει διαγνωστική αβεβαιότητα.
- Μια κανονική 24ωρη μελέτη pH μετά από διακοπή φαρμάκων για σημαντικό διάστημα, υποδεικνύει διαφορετική διάγνωση και οδηγεί σε πρόσθετες διαγνωστικές εξετάσεις.
- Μανομετρία οισοφάγου
- Συχνά πραγματοποιείται πριν από τη χειρουργική επέμβαση.
- Εντοπίζει συνθήκες αντένδειξης για θολοπλαστική (όπως αχαλασία) ή τροποποίησης του τύπου θολοπλαστικής (nissen-toupet).
- Παρ’ όλα αυτά, δεν υπάρχει υποστήριξη στη βιβλιογραφία για την υποχρεωτική προεγχειρητική μανομετρία.
- Βαριούχο γεύμα: Συχνά εκτελείται για την καλύτερη οριοθέτηση της ανατομίας.
Η χειρουργική θεραπεία της διαφραγματοκήλης
H χειρουργική θεραπεία για τη Διαφραγματοκήλη είναι αποτελεσματική εναλλακτική λύση σε σχέση με την συντηρητική αγωγή, και θα πρέπει να επιχειρείται σε επιλεγμένους ασθενείς από κατάλληλα ειδικευμένους χειρουργούς.
Η χειρουργική θεραπεία αντιμετωπίζει αποτελεσματικά τα μηχανικά αίτια που σχετίζονται με την ασθένεια και οδηγεί σε μακροχρόνια ποσοστά ικανοποίηση του ασθενούς (>97%).
Η λαπαροσκοπική θολοπλαστική θα πρέπει να προτιμάται σε σχέση με την «ανοικτή» επέμβαση, διότι συνδέεται με καλύτερα αποτελέσματα πρώιμα όπως μικρότερη νοσηλεία, λιγότερες επιπλοκές και ταχεία επάνοδος στις δραστηριότητες, ενώ δεν έχει σημαντικές διαφορές στα απώτερα αποτελέσματα.
Η χειρουργική επέμβαση είναι πολύ αποτελεσματική για την θεραπεία της Διαφραγματοκήλης (Hiatal Hernia). Εν τούτοις, μέχρι πρόσφατα, η επέμβαση αυτή απαιτούσε μία μεγάλη τομή στην κοιλιά και είχε σαν αποτέλεσμα αρκετό μετεγχειρητικό πόνο και μία περίοδο ανάρρωσης έξι ή και περισσοτέρων εβδομάδων.
Προσφάτως, η τεχνική αυτή έχει αλλάξει και χρησιμοποιούνται λαπαροσκοπικές τεχνικές αποφεύγοντας έτσι μεγάλες τομές.

Δείτε γιά Nissen ή Toupet — πώς αποφασίζουμε στο ειδικό άρθρο μας.
Πώς γίνεται η λαπαροσκοπική αντι-παλινδρομική επέμβαση – Θολοπλαστική
Η λαπαροσκοπική Αντι-Παλινδρομική χειρουργική (κοινώς αναφερόμενη ως Λαπαροσκοπική Θολοπλαστική κατά Nissen) περιλαμβάνει ενδυνάμωση της «βαλβίδας» μεταξύ του οισοφάγου και του στομάχου τυλίγοντας το ανώτερο τμήμα του στομάχου με το κατώτατο τμήμα του οισοφάγου.
Κατά την λαπαροσκοπική επέμβαση, οι χειρουργοί χρησιμοποιούν μικρές τομές (1/2 ή 1 εκ.) προκειμένου να εισαγάγουν στην κοιλιά τους σωλήνες, μέσω των οποίων θα γίνει η επέμβαση. Το λαπαροσκόπιο, το οποίο είναι συνδεδεμένο με μία μικροσκοπική βίντεο-κάμερα, εισέρχεται μέσω της μικρής τομής, επιτρέποντας στον χειρουργό να έχει μία μεγεθυμένη εικόνα των εσωτερικών οργάνων του ασθενούς στην οθόνη μίας τηλεόρασης.
H τεχνική συνίσταται στα εξής στάδια:
- Λεπτομερής ανατομική παρασκευή του οισοφάγου υπό άμεση όραση σε μεγέθυνση high definition.
- Διατήρηση των πνευμονογαστρικών νεύρων.
- Συρραφή και σύγκλειση των σκελών του διαφράγματος με στόχο την ανάταξη της διαφραγματοκήλης και ασφαλή επανατοποθέτηση του θόλου του στομάχου ενδοκοιλιακά, κάτωθεν του διαφράγματος.
- Δημιουργία “βαλβίδας” από τον θόλο του στομάχου, ο οποίος περιτυλίσσεται γύρω από τον οισοφάγο, με στόχο την δημιουργία νέας ζώνης πίεσης στην περιοχή του “αδρανούς” κατώτερου οισοφαγικού σφιγκτήρα, με αποτέλεσμα την διακοπή της παλινδρόμησης.
Η θολοπλαστική γίνεται είτε 360 μοίρες (η πλέον συνήθης), καλείται Nissen θολοπλαστική και απαιτεί καλή λειτουργική κινητικότητα του οισοφαγικού σωλήνα, είτε γίνεται 270 μοίρες και καλείται θολοπλαστική κατά Toupet, και επιτελείται σε μειωμένη κινητικότητα του οισοφάγου.
Για τον λόγο αυτό θα πρέπει πάντα να προηγείται της επεμβάσεως Μανομετρία Οισοφάγου (σημαντική εξέταση όπου μελετάται η κινητικότητα του οισοφάγου και η λειτουργία του Κατώτερου Οισοφαγικού Σφιγκτήρα).
Τεχνικές & Επιλογή επέμβασης – Ανάλυση
Κλασικές επεμβασεις (με επιδιόρθωση τρήματος)
Όλες συνοδεύονται από οπίσθια σύγκλειση σκελών διαφράγματος (cruroplasty) & σταθεροποίηση στομήματος.
Η επιλογή περιέλιξης βασίζεται στην κινητικότητα οισοφάγου (HRM).
- Nissen (360° πλήρης περιέλιξη)
- Ιδανική όταν: φυσιολογική/καλή περισταλτική.
- Πλεονεκτήματα: μέγιστος έλεγχος ΓΟΠ.
- Κίνδυνοι/προσοχή: υψηλότερη πιθανότητα μετεγχειρητικής δυσφαγίας/αδυναμίας ρεψίματος σε υποτονικό οισοφάγο.
- Toupet (270° οπίσθια, μερική)
- Ιδανική όταν: ήπια–μέτρια υποτονική κινητικότητα ή αμφιβολία.
- Πλεονεκτήματα: μικρότερη δυσφαγία, καλός έλεγχος ΓΟΠ στους περισσότερους.
- Σχόλιο: “ασφαλής” default όταν δεν θες να «σφίξεις» πολύ.
- Dor (180–200° πρόσθια, μερική)
- Κυρίως όταν: χρειάζεται προστασία πρόσθιου τοιχώματος (π.χ. μετά από μυοτομή) ή πολύ φτωχή κινητικότητα.
- Πλεονεκτήματα: ελάχιστη δυσφαγία.
- Μειονεκτήματα: ελαφρώς χαμηλότερος έλεγχος ΓΟΠ σε σχέση με Nissen/Toupet.
Πλαστική σκελών διαφράγματος με πλέγμα — επιλεγμένες περιπτώσεις
- Πότε τη σκέφτομαι: μεγάλα χάσματα (συχνά >5 cm), έντονη τάση σύγκλεισης, υποτροπές, λεπτός/εύθραυστος ιστός.
- Τι υλικό: προτιμητά βιολογικά/απορροφήσιμα πλέγματα για να ελαχιστοποιηθεί ο κίνδυνος διάβρωσης.
- Σχόλιο: δεν είναι «ρουτίνα». Ατομικοποιημένη απόφαση στο χειρουργείο.
Συσκευές/ενδοσκοπικές επιλογές (επιλεγμένοι ασθενείς)
- LINX® (μαγνητικός δακτύλιος LES)
- Προϋποθέσεις: μικρή κήλη (συνήθως ≤3 cm, αν >3 cm απαιτείται ταυτόχρονη επιδιόρθωση), φυσιολογική κινητικότητα HRM, απουσία σοβαρής οισοφαγίτιδας/μακρού Barrett, MRI προφυλάξεις.
- Πλεονεκτήματα: διατήρηση ρεψίματος/εμέτου σε πολλούς, ταχεία ανάρρωση.
- Όχι όταν: σοβαρή διαταραχή κινητικότητας, μεγάλες κήλες χωρίς επιδιόρθωση.
- TIF (Transoral Incisionless Fundoplication)
- Προϋποθέσεις: ελάχιστη/καμία κήλη (≤2 cm), ήπια–μέτρια ΓΟΠ, απουσία σοβαρής οισοφαγίτιδας/Barrett.
- Πλεονεκτήματα: καθόλου τομές, γρήγορη ανάρρωση.
- Περιορισμοί: λιγότερο αποτελεσματική σε μεγάλες κήλες/σοβαρή ΓΟΠ· συχνά συνδυάζεται με hiatal repair (cTIF) εάν υπάρχει μικρή κήλη.
Βαριατρική επιλογή σε παχυσαρκία
- Roux-en-Y Gastric Bypass (RYGB)
- Πότε προτιμάται: BMI ≥35 με ΓΟΠ/κήλη ή BMI 30–35 με ανθεκτική ΓΟΠ/συννοσηρότητες.
- Γιατί: βελτιώνει ουσιαστικά ΓΟΠ και παχυσαρκία· συχνά ανώτερο από fundoplication σε σοβαρή παχυσαρκία.
- Σχόλιο: απαιτεί βαριατρική αξιολόγηση και ενημερωμένη συναίνεση.
Αποτελέσματα μετά τη λαπαροσκοπική επέμβαση
Οι έρευνες έχουν δείξει ότι η μεγαλύτερη πλειοψηφία των ασθενών, οι οποίοι υποβάλλονται σε επέμβαση απαλλάσσονται τελείως ή έχουν μία πολύ σημαντική βελτίωση των συμπτωμάτων της Διαφραγματοκήλης (Hiatal Hernia).
Το πλεονέκτημα της λαπαροσκοπικής μεθόδου είναι ότι συνήθως εξασφαλίζει:
- Μειωμένο μετεγχειρητικό πόνο.
- Λιγότερη παραμονή στο νοσοκομείο.
- Γρηγορότερη επιστροφή στην δουλειά.
- Καλύτερο αισθητικό αποτέλεσμα.
Η λαπαροσκοπική αποκατάσταση διαφραγματοκήλης με αντιπαλινδρομική τεχνική (Nissen/Toupet) προσφέρει υψηλά ποσοστά ελέγχου της ΓΟΠ και βελτίωσης ποιότητας ζωής, με τα περισσότερα περιστατικά να αναφέρουν ουσιαστική ύφεση καούρας/αναγωγών και διακοπή ή σημαντική μείωση αναστολέων αντλίας πρωτονίων μέσα στους πρώτους μήνες.
Η ελάχιστα επεμβατική προσπέλαση μεταφράζεται συνήθως σε μικρότερη απώλεια αίματος, λιγότερο μετεγχειρητικό άλγος, νοσηλεία 1–2 ημερών και ταχύτερη επάνοδο στις δραστηριότητες (συχνά σε 1–2 εβδομάδες), ενώ η συστηματική σύγκλειση των σκελών του διαφράγματος και η επιμήκυνση ενδοκοιλιακού οισοφάγου μειώνουν τον κίνδυνο υποτροπής σε σχέση με παλαιότερες τεχνικές.
Οι κύριες ανεπιθύμητες ενέργειες είναι παροδική δυσφαγία (συνήθως υποχωρεί με δίαιτα/χρόνο), “gas-bloat”/δυσκολία ρεψίματος και σπανιότερα εμμένουσα δυσφαγία που μπορεί να απαιτήσει διαστολές ή, σπανιότατα, επανεπέμβαση· ο κίνδυνος αυξάνει με πλήρη περιέλιξη σε οισοφάγο με φτωχή κινητικότητα, γι’ αυτό ο προεγχειρητικός έλεγχος με HRM κατευθύνει την επιλογή Nissen vs Toupet.
Σε μεγάλες ή υποτροπιάζουσες κήλες, η ενίσχυση της cruroplasty με βιολογικό/απορροφήσιμο πλέγμα μπορεί να περιορίσει τις εντάσεις σύγκλεισης, με προσεκτική επιλογή ασθενών λόγω του χαμηλού αλλά υπαρκτού κινδύνου διάβρωσης. Μακροπρόθεσμα, τα αποτελέσματα θεωρούνται ανθεκτικά όταν η ανατομική αποκατάσταση είναι σωστή, ο οισοφάγος έχει επαρκές μήκος και τηρείται η τεχνική αρχών· σε παχύσαρκους ασθενείς με σοβαρή ΓΟΠ, η συζήτηση για βαριατρική λύση (π.χ. RYGB) μπορεί να αποφέρει πιο σταθερό έλεγχο συμπτωμάτων. συνολικά, η λαπαροσκοπική προσέγγιση συνδυάζει αποτελεσματικότητα, ασφάλεια και ταχεία ανάρρωση, με εξατομίκευση της τεχνικής να μεγιστοποιεί το όφελος και να ελαχιστοποιεί τις επιπλοκές.
Η θέση των Πλεγμάτων στην Επέμβαση
Η ενίσχυση της σύγκλεισης των σκελών του διαφράγματος (cruroplasty) κατά την αποκατάσταση διαφραγματοκήλης δεν αποτελεί πρακτική ρουτίνας και εφαρμόζεται μόνο όταν το ανατομικό χάσμα και/ή η ποιότητα των ιστών προμηνύουν σύγκλειση υπό έντονη τάση και αυξημένο κίνδυνο πρώιμης χαλάρωσης. Τυπικές ενδείξεις περιλαμβάνουν: (α) μεγάλο hiatal χάσμα — συχνά με διάμετρο >4–5 cm ή με ευρεία απόσταση/αδυναμία των σκελών, (β) υποτροπιάζουσα διαφραγματοκήλη (redo repair) με ουλώδη, εύθραυστο ιστό, και/ή (γ) μειωμένη ιστική αντοχή (ηλικιωμένοι, χρόνια κορτικοθεραπεία, συνδεσμικές/κολλαγονικές διαταραχές, σημαντική αύξηση ενδοκοιλιακής πίεσης λόγω παχυσαρκίας, ΧΑΠ, δυσκοιλιότητας). Σε μικρά έως μέτρια χάσματα που κλείνουν χωρίς τάση με ραφές, ενίσχυση δεν συνιστάται. Σε περίπτωση μολυσμένου/ρυπαρού χειρουργικού πεδίου ή ύποπτης διάτρησης, η χρήση οποιουδήποτε πλέγματος αποφεύγεται.
Ρητή θέση υλικών: Η χρήση μόνιμων συνθετικών πλεγμάτων (π.χ. πολυπροπυλένιο, ePTFE) απαγορεύεται στην περιοχή του οισοφάγου/γαστροοισοφαγικής συμβολής, λόγω τεκμηριωμένου —έστω σπάνιου αλλά σοβαρού— κινδύνου διάβρωσης, στένωσης, χρόνιας δυσφαγίας και δημιουργίας συριγγίων. Η ενίσχυση, όταν ενδείκνυται, πραγματοποιείται αποκλειστικά με βιολογικά ή απορροφήσιμα/βιοσυνθετικά υποκατάστατα ιστού, τα οποία λειτουργούν ως onlay «επικάλυψη» των ραφών για tension-free σταθεροποίηση, όχι ως «bridging» αντικατάσταση ιστού. Η καθήλωση γίνεται με ραφές ή/και απορροφήσιμα μέσα, με προσοχή στην αποφυγή επιθετικής μεταλλικής αγκύρωσης εγγύς του οισοφάγου.

Τεχνικές αρχές και λήψη απόφασης: Η απόφαση για ενίσχυση λαμβάνεται ενδοεγχειρητικά, μετά από αντικειμενική εκτίμηση του πραγματικού μεγέθους του χάσματος, της τάσης σύγκλεισης και της ποιότητας ιστών μετά την πλήρη κινητοποίηση γαστροοισοφάγιου και την επαρκή επιμήκυνση ενδοκοιλιακού οισοφάγου (όπου απαιτείται). Η ενίσχυση δεν υποκαθιστά τις αρχές της ορθής ανατομικής αποκατάστασης (οπίσθια cruroplasty, αποκατάσταση φρενοοισοφαγικού συνδέσμου, επιλογή κατάλληλης περιέλιξης βάσει HRM). Εφόσον υπάρχει short esophagus, προέχει η επιμήκυνση (π.χ. Collis) και όχι η «πρόσθεση» υλικού σε πεδίο με μη ορθή μήκυνση. Σε ασθενείς με νοσογόνο παχυσαρκία και σοβαρή ΓΟΠ, η στρατηγική μπορεί να μετακινηθεί προς βαριατρική λύση (π.χ. RYGB) για διατηρήσιμο έλεγχο συμπτωμάτων και μείωση υποτροπών αντί υπερ-εξάρτησης από ενίσχυση του τρήματος.
Ενημέρωση ασθενούς και τεκμηρίωση: Η ένδειξη ενίσχυσης συζητείται προεγχειρητικά στο πλαίσιο ενημερωμένης συναίνεσης, διευκρινίζοντας ότι τα βιολογικά/απορροφήσιμα υλικά επιλέγονται για να μειώσουν την τάση και την πιθανότητα πρώιμης χαλάρωσης, χωρίς να «μηδενίζουν» τον κίνδυνο υποτροπής, ενώ τα μόνιμα συνθετικά δεν χρησιμοποιούνται λόγω του προαναφερθέντος προφίλ επιπλοκών. Η τελική απόφαση τεκμηριώνεται στο χειρουργικό σημείωμα με αναφορά στο μέγεθος χάσματος, την τάση σύγκλεισης, το είδος υλικού (εφόσον χρησιμοποιήθηκε) και τη μέθοδο καθήλωσης.
Ρομποτικη Επέμβαση για την Διαφραγματοκήλη (Hiatal Hernia)
Η ρομποτική αποκατάσταση διαφραγματοκήλης αποτελεί εξέλιξη της ελάχιστα επεμβατικής χειρουργικής, αξιοποιώντας τρισδιάστατη υψηλής ευκρίνειας όραση και «αρθρωτά» εργαλεία με φίλτρο τρόμου για εξαιρετικά ακριβή συρραφή των σκελών του διαφράγματος (cruroplasty), λεπτομερή κινητοποίηση οισοφάγου στο μεσοθωράκιο και ασφαλή διαμόρφωση της αντιπαλινδρομικής περιέλιξης (Nissen/Toupet) ή συνδυασμό με hiatal repair σε τεχνικές όπως cTIF/LINX όπου ενδείκνυται.
Η αυξημένη εργονομία και η σταθερότητα της πλατφόρμας διευκολύνουν ιδιαίτερα δύσκολες ανατομίες (μεγάλες/παραοισοφαγικές κήλες, παχυσαρκία, redo επεμβάσεις με ουλώδη ιστό, «short esophagus» που απαιτεί επιμήκυνση), μειώνοντας την τεχνική δυσκολία της ενδοσωματικής ραφής και επιτρέποντας πιο σχολαστικό έλεγχο τάσεων στο χάσμα (με ή χωρίς απορροφήσιμη/βιολογική ενίσχυση, ποτέ μόνιμα συνθετικά).
Κλινικά, τα αποτελέσματα όσον αφορά έλεγχο ΓΟΠ, ποιότητα ζωής, νοσηλεία και ανάρρωση είναι τουλάχιστον ισοδύναμα με τη λαπαροσκοπική προσπέλαση, με ορισμένες σειρές να καταγράφουν χαμηλά ποσοστά μετατροπής και εξαιρετική ακρίβεια συρραφής—η εμπειρία της ομάδας παραμένει καθοριστικός παράγοντας. Η διάρκεια χειρουργείου μπορεί αρχικά να είναι μεγαλύτερη λόγω στησίματος/καμπύλης μάθησης, αλλά η μετεγχειρητική πορεία συνήθως είναι ταχεία (ERAS πρωτόκολλα, πρώιμη σίτιση, σύντομη νοσηλεία 1–2 ημερών).
Η επιλογή ρομποτικής γίνεται εξατομικευμένα με βάση τα συμπτώματα, την ανατομία, τις συννοσηρότητες και τους στόχους του ασθενούς, επιδιώκοντας ασφαλή, ανθεκτική αποκατάσταση με ελάχιστο τραύμα.
Gia thn Ρομποτική επέμβαση διαφραγματοκήλης δείτε το ειδικό άρθρο μας.
Ανάρρωση μετά από αποκατάσταση διαφραγματοκήλης
- Νοσηλεία: συνήθως 0–1 διανυκτέρευση· σε οργανωμένο ERAS μπορεί και day-case.
- Δίαιτα: 0–24h υγρά/πολτοποιημένα → 2–7 ημέρες μαλακές τροφές μικρά και συχνά γεύματα → σταδιακή επιστροφή σε κανονική δίαιτα σε 2–4 εβδομάδες. Αποφύγετε αναψυκτικά/όσπρια/πολύ καυτερά στην αρχή.
- Κατάποση/φουσκώματα: ήπια δυσφαγία/αέρια είναι συχνά τις πρώτες 2–6 εβδομάδες· τρώτε αργά, καλά μασώντας, χωρίς καλαμάκι/ανθρακικό.
- Πόνος: ήπιος, ελέγχεται με κοινά παυσίπονα τις πρώτες 3–5 ημέρες.
- Κίνηση: περπάτημα από την 1η ημέρα· σκάλες/ήπια δραστηριότητα καθημερινά.
- Επιστροφή σε δουλειά: γραφείου σε 7–10 ημέρες, χειρωνακτική εργασία σε 3–4 εβδομάδες (εξατομικευμένα).
- Οδήγηση: όταν δεν παίρνετε οπιοειδή και μπορείτε να φρενάρετε χωρίς πόνο (συνήθως μετά την 5η–7η ημέρα).
- Άρση βάρους/γυμναστική: <5–7 κιλά για 2 εβδομάδες· προοδευτική ενδυνάμωση/cardio από 3η–4η εβδομάδα, αποφυγή έντονης πίεσης κοιλιάς για ~4–6 εβδομάδες.
- Φάρμακα ΓΟΠ: συνήθως μειώνονται/διακόπτονται σταδιακά μετά από ιατρική καθοδήγηση.
- Φροντίδα τραυμάτων: ντους μετά τις 24–48h, στεγνό καθάρισμα, χωρίς τοπικά σκευάσματα unless instructed.
- Πότε να καλέσετε άμεσα: επίμονος/έντονος έμετος ή αδυναμία λήψης υγρών, αιματέμεση/μέλαινα, υψηλός πυρετός, επιμένουσα έντονη δυσφαγία, δύσπνοια, έντονος κοιλιακός/θωρακικός πόνος, έντονο οίδημα/εκροή από το τραύμα.
- Ρομποτική vs λαπαροσκοπική: παρόμοιο πρωτόκολλο ανάρρωσης· συχνά ταχεία λειτουργική επάνοδος λόγω μειωμένου πόνου και ακριβούς ανακατασκευής, εξατομικεύεται με βάση την επέμβαση.
Κόστος στον ιδιωτικό τομέα
Το τελικό κόστος της αποκατάστασης διαφραγματοκήλης καθορίζεται εξατομικευμένα και προκύπτει από συνδυασμό παραγόντων: τύπος/μέγεθος της κήλης (ολισθαίνουσα vs παραοισοφαγική, εύρος χάσματος), χειρουργική τεχνική (λαπαροσκοπική ή ρομποτική da Vinci με Nissen/Toupet), ανάγκη ενίσχυσης με πλέγμα (είδος υλικού), διάρκεια χειρουργείου, αναισθησιολογική κάλυψη, ημέρες νοσηλείας (day-case ή 1–2 διανυκτερεύσεις με ERAS πρωτόκολλο), καθώς και τυχόν πρόσθετες πράξεις/εξετάσεις (γαστροσκόπηση, pH-μετρία, μανομετρία, ενδοσκοπικές παρεμβάσεις σε Barrett).
Η ρομποτική προσέγγιση ενδέχεται να έχει υψηλότερο άμεσο κόστος λόγω τέλους χρήσης πλατφόρμας και ειδικών αναλωσίμων, όμως προσφέρει εξαιρετική εργονομία/ακρίβεια σε δύσκολες ανατομίες και συχνά επιτρέπει ταχεία λειτουργική ανάρρωση σε οργανωμένο ERAS περιβάλλον. Για ιδιωτικά ασφαλισμένους, το τελικό ποσό επηρεάζεται από το είδος σύμβασης (direct billing ή αποζημίωση), τα όρια κάλυψης/απαλλασσόμενα, την απαραίτητη προέγκριση και τυχόν συμμετοχές.
Παρέχουμε αναλυτική προσφορά μετά τον προεγχειρητικό έλεγχο, με πλήρη διαφάνεια ανά σκέλος κόστους (αμοιβές χειρουργού/αναισθησιολόγου, υλικά, ρομποτική πλατφόρμα, κλινική), καθώς και εναλλακτικά σενάρια (λαπαροσκοπική vs ρομποτική, με/χωρίς πλέγμα) ώστε να επιλέξετε τεκμηριωμένα.
Ο κ. Γεώργιος Σάμπαλης, Διευθυντής Γενικής, Λαπαροσκοπικής & Ρομποτικής Χειρουργικής στο Ιατρικό Κέντρο Αθηνών και Πρόεδρος της Ελληνικής Εταιρείας Ενδοσκοπικής Χειρουργικής (ΕΕΕΧ, θητεία 2023–2025), έχει ιδιαίτερη εξειδίκευση στην ελάχιστα επεμβατική αποκατάσταση διαφραγματοκήλης και στη χειρουργική ΓΟΠ (Nissen/Toupet, hiatal repair, συνδυαστικές τεχνικές όπως cTIF/LINX όπου ενδείκνυται). Η κλινική του πρακτική βασίζεται σε αυστηρό προεγχειρητικό έλεγχο (EGD, βαριούχος, HRM, 24ωρο pH-impedance), στην εξατομίκευση της τεχνικής με γνώμονα την κινητικότητα του οισοφάγου και την ανατομία του χάσματος, και σε πρωτόκολλα ERAS για ταχεία και ασφαλή ανάρρωση. Στις μεγάλες ή υποτροπιάζουσες κήλες εφαρμόζει ενίσχυση cruroplasty μόνο με βιολογικά/απορροφήσιμα υλικά, απορρίπτοντας ρητά μόνιμα συνθετικά πλέγματα στην περιοχή του οισοφάγου. Με πολυετή εμπειρία σε λαπαροσκοπικές και ρομποτικές τεχνικές και ενεργό ρόλο στη διαμόρφωση σύγχρονων κατευθυντήριων πρακτικών στην Ελλάδα, ο κ. Σάμπαλης εστιάζει σε τεκμηριωμένες αποφάσεις και διαφανή ενημέρωση του ασθενούς, ώστε κάθε επέμβαση να είναι όσο το δυνατόν ασφαλής, αποτελεσματική και ανθεκτική.
FAQ – Συχνές Ερωτήσεις
- Τι είναι η διαφραγματοκήλη και ποιοι τύποι υπάρχουν;
- Η διαφραγματοκήλη είναι μετατόπιση μέρους του στομάχου προς το θώρακα μέσω του διαφράγματος. Συχνότερη είναι η ολισθαίνουσα (σχετίζεται με ΓΟΠ), ενώ η παραοισοφαγική είναι σπανιότερη αλλά μπορεί να προκαλέσει επιπλοκές (στραγγαλισμό/εγκλωβισμό).
- Πώς γίνεται η διάγνωση;
- Με ιστορικό και κλινική εξέταση, γαστροσκόπηση και/ή ακτινοσκόπηση με βάριο. Συμπληρωματικά, οισοφαγική μανομετρία και 24ωρη pH-μετρία όταν χρειάζεται για επιβεβαίωση ΓΟΠ και επιλογή κατάλληλης επέμβασης.
- Πότε χρειάζεται χειρουργική αντιμετώπιση;
- Όταν τα συμπτώματα επιμένουν παρά την αγωγή, όταν υπάρχουν επιπλοκές (αναιμία, έλκη, έντονη δυσφαγία, εισρόφηση), σε μεγάλη παραοισοφαγική κήλη ή όταν ο ασθενής δεν επιθυμεί μακροχρόνια φαρμακευτική αγωγή.
- Ποια επέμβαση γίνεται και ποια η διαφορά Nissen–Toupet;
- Γίνεται αποκατάσταση του διαφραγματικού στομίου (cruroplasty) και θολοπλαστική. Η Nissen είναι 360° περιτύλιξη, ενώ η Toupet 270° (οπίσθια). Η επιλογή βασίζεται σε ευρήματα μανομετρίας/κινητικότητας ώστε να ελαχιστοποιηθεί ο κίνδυνος δυσφαγίας.
- Θα χρειαστεί πλέγμα; Πώς είναι η ανάρρωση;
- Πλέγμα μπορεί να χρησιμοποιηθεί επιλεκτικά σε μεγάλα χάσματα για ενίσχυση, όχι ρουτίνα· προτιμώνται σύγχρονα βιοσυνθετικά/απορροφήσιμα υλικά όπου ενδείκνυται. Συνήθως εξιτήριο το ίδιο ή την επόμενη ημέρα, μαλακή δίαιτα 2–4 εβδομάδες, αποφυγή άρσης βάρους για ~4–6 εβδομάδες και σταδιακή επιστροφή σε δραστηριότητες.
Τελευταία ιατρική επιμέλεια: 21/01/2026 από τον Δρ. Γεώργιος Σάμπαλης, MD, PhD
