Λεμφαδενοπάθεια και ενδείξεις βιοψίας? Αναλυτική αναφορά σε μία πολύ συχνή και αμφιλεγόμενη πάθηση, η οποία προκαλεί πολλά και δύσκολα ερωτήματα.
Τι είναι ο λεμφαδένας
Οι λεμφαδένες είναι μικρά “φίλτρα” του οργανισμού, διάσπαρτα στον λαιμό, τη μασχάλη, τη βουβωνική χώρα και βαθύτερα μέσα στο σώμα. Μέσα τους κυκλοφορεί λέμφος (ένα υγρό με κύτταρα του ανοσοποιητικού), ώστε να παγιδεύονται μικρόβια και να ενεργοποιούνται αμυντικοί μηχανισμοί. Σε φυσιολογικές συνθήκες είναι μικροί, μαλακοί και κινούνται εύκολα στην ψηλάφηση. Όταν “δουλεύουν” λόγω μιας λοίμωξης, συχνά μεγαλώνουν προσωρινά και μπορεί να γίνουν ευαίσθητοι—συνήθως επανέρχονται μόνοι τους όταν περάσει η αιτία. Πιο σπάνια, η διόγκωση μπορεί να σχετίζεται με άλλες καταστάσεις που χρειάζονται έλεγχο. Γι’ αυτό, αν ένας λεμφαδένας δεν μικραίνει μέσα σε λίγες εβδομάδες, είναι σκληρός/ακίνητος ή συνοδεύεται από παρατεταμένο πυρετό, νυχτερινούς ιδρώτες ή απώλεια βάρους, καλό είναι να αξιολογείται από γιατρό.
Ορισμοί και αρχές
- Λεμφαδενοπάθεια σημαίνει ότι ένας λεμφαδένας έχει αλλάξει μέγεθος, υφή ή σχήμα πέρα από το αναμενόμενο. Δεν μας ενδιαφέρει μόνο το πόσο μεγάλος είναι, αλλά και πώς φαίνεται και πώς συμπεριφέρεται (π.χ. αν είναι σκληρός και ακίνητος ή μαλακός και κινητός). Αυτό έχει σημασία γιατί οι αντιδραστικοί λεμφαδένες από κοινές λοιμώξεις συνήθως είναι μαλακοί/ευκίνητοι και υποχωρούν μόνοι τους, ενώ οι νεοπλασματικοί τείνουν να γίνονται πιο σκληροί και να μεγαλώνουν προοδευτικά.
- Εντοπισμένη λεμφαδενοπάθεια αφορά μία περιοχή αποχέτευσης και συχνά σχετίζεται με τοπικό αίτιο (π.χ. οδοντική λοίμωξη → υπογνάθιοι). Γενικευμένη αφορά ≥2 μη γειτονικές περιοχές και υποδηλώνει συστηματική διεργασία (ιογενής λοίμωξη, αυτοάνοσο, αιματολογική κακοήθεια), άρα χρειάζεται πιο πλατύ έλεγχο.
- Σε ενήλικες με χαμηλού κινδύνου, εντοπισμένη διόγκωση, δίνεται συχνά σύντομη παρακολούθηση 2–4 εβδομάδων, γιατί πολλοί κόμβοι μικραίνουν όταν λυθεί το εκλυτικό αίτιο (π.χ. ίωση). Αν όμως επιμένει, μεγαλώνει ή συνοδεύεται από “κόκκινες σημαίες”, προχωρούμε σε έλεγχο.
Ιστορικό και κλινικά “red flags”
- Ηλικία >40 ετών, σκληρή/ακίνητη μάζα, ταχεία αύξηση μεγέθους, Β-συμπτώματα (παρατεταμένος πυρετός, νυχτερινοί ιδρώτες, ανεξήγητη απώλεια βάρους) και υπερκλείδια εντόπιση αυξάνουν σημαντικά την πιθανότητα σοβαρής υποκείμενης νόσου. Αυτά τα στοιχεία λειτουργούν σαν “συναγερμοί” που μειώνουν το όριο για απεικόνιση ή βιοψία.
- Το στοχευμένο ιστορικό (ταξίδια, επαφή με ζώα/γάτες, επαγγελματικές εκθέσεις, σεξουαλικό ιστορικό, φάρμακα όπως υδραλαζίνη/φαινυτοΐνη, εμβολιασμοί, TB exposure, HIV κίνδυνος) αλλάζει τις προτεραιότητες των εξετάσεων και μας αποφεύγει άσκοπες βιοψίες.
Εργαστηριακά και απεικόνιση — τι περιμένουμε να μας πουν
- Αιματολογικός έλεγχος (CBC, ΤΚΕ/CRP, LDH): μας δείχνει αν υπάρχει φλεγμονή, κυτταροπενίες ή αυξημένος κυτταρικός turnover (χρήσιμος δείκτης σε λεμφώματα).
- Ιολογικός/λοιμώδης έλεγχος (EBV/CMV/HIV, σύφιλη, TB) γίνεται όταν το ιστορικό το δικαιολογεί, ώστε να τεκμηριώσουμε λοιμώδη αίτια πριν περάσουμε σε επεμβατικές πράξεις.
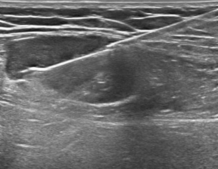
- Υπερηχογράφημα επιφανειακών λεμφαδένων: εξηγεί μορφολογία και αγγείωση. Π.χ. ωοειδές σχήμα με λιπώδη πύλη τείνει να είναι καλοήθες, ενώ στρογγυλοποίηση (λόγος μήκους/πάχους <2), απώλεια πύλης, ανομοιογένεια, νεκρώσεις ή περιφερική αγγείωση αυξάνουν την υποψία κακοήθειας.
- CT/MRI: χρειάζονται όταν ο κόμβος είναι βαθύς (π.χ. μεσοθωράκιο, οπισθοπεριτόναιο) ή όταν χρειαζόμαστε χαρτογράφηση της νόσου. PET-CT χρησιμοποιείται επιλεκτικά για σταδιοποίηση/εντοπισμό βιοψήσιμου στόχου, όχι ως screening σε χαμηλού κινδύνου σενάρια.
Πότε χρειάζεται βιοψία — το σκεπτικό
Ζητάμε βιοψία όταν η πιθανότητα σημαντικής παθολογίας είναι επαρκώς αυξημένη ή όταν η διάγνωση δεν μπορεί να τεθεί αλλιώς:
- Επιμονή >2–4 εβδομάδων χωρίς τάση υποχώρησης,
- Παρουσία red flags ή γενικευμένης λεμφαδενοπάθειας,
- Υπερκλείδιος λεμφαδένας (ιδίως σε ενήλικα),
- Ύποπτη υπερηχογραφική/απεικονιστική εικόνα,
- Ανοσοκαταστολή ή άλλα υψηλού κινδύνου στοιχεία, όπου το κατώφλι για βιοψία είναι χαμηλότερο.
Επιλογή κόμβου: Προτιμούμε τον μεγαλύτερο, πιο ύποπτο και πιο εύκολα προσβάσιμο. Αποφεύγουμε, αν υπάρχει εναλλακτική, τη βουβωνική περιοχή για διερεύνηση λεμφώματος γιατί συχνά δίνει λιγότερο διαγνωστικό υλικό.
Ποια μέθοδος βιοψίας — τι κερδίζουμε/τι χάνουμε
- FNA (λεπτοβελόνη): ελάχιστα επεμβατική, χρήσιμη για μεταστατική νόσο (κυτταρολογία). Μειονέκτημα: συχνά ανεπαρκής για λεμφώματα που απαιτούν αρχιτεκτονική.
- Core needle (παχύτερη βελόνα): δίνει ιστοτεμάχια, άρα επιτρέπει ανοσοϊστοχημεία/flow και καλύτερη τυποποίηση. Είναι συχνά το βέλτιστο πρώτο επεμβατικό βήμα σε ύποπτους κόμβους.
- Αφαιρετική (excisional): προσφέρει πλήρη αρχιτεκτονική και θεωρείται gold standard όταν υποπτευόμαστε λέμφωμα ή όταν η FNA/CORE ήταν μη διαγνωστική.
“Ανά περιοχή”: τυπικά αίτια, πότε να υποπτευθούμε και τι προτείνεται
Τα όρια μεγέθους διαφέρουν ανά περιοχή και ηλικία· η συνολική κλινική εικόνα υπερισχύει.
1) Τραχηλικοί (προωτιαίοι, οπισθοωτιαίοι, υπογνάθιοι, πρόσθιοι/οπίσθιοι τραχηλ.)
- Συχνά αίτια: λοιμώξεις ανώτερου αναπνευστικού, οδοντογενείς, δερματικές.
- Υποψία: κόμβος που μένει >2–4 εβδομάδες, >2 cm, σκληρός/ακίνητος, ασύμμετρος, ή σε ενήλικα με παράγοντες κινδύνου (κάπνισμα/αλκοόλ για H&N κακοήθειες).
- Πράξη: US ± CORE/FNA. Χαμηλό κατώφλι για βιοψία σε ενήλικα με μονήρη τραχηλική μάζα χωρίς σαφές λοιμώδες αίτιο.
2) Υπερκλείδιοι
- Γιατί μας ανησυχούν: παροχετεύουν θώρακα/άνω κοιλία (ιδίως ο αριστερός—γαστρεντερικό).
- Κλινικός κανόνας: κάθε ψηλαφητός υπερκλείδιος σε ενήλικα θεωρείται υψηλού κινδύνου → άμεση απεικόνιση και ιστολογική τεκμηρίωση (CORE ή εξαιρετική).
3) Μασχαλιαίοι
- Συχνά αίτια: τοπικές λοιμώξεις/τραυματισμοί άνω άκρου, μεταεμβολιαστική αντίδραση.
- Υποψία: εμμονή >2–4 εβδομ., ύποπτα US ευρήματα, ιστορικό/κλινική υποψία για μάστι.
- Πράξη: US-καθοδηγούμενη CORE. (Σημ.: Sentinel είναι ογκολογική σταδιοποίηση σε γνωστό καρκίνο μαστού—όχι διαγνωστική προσέγγιση “αγνώστου”.)
4) Επιτροχίλιοι (επικονδύλιοι αγκώνα)
- Φυσιολογία: συνήθως δεν ψηλαφώνται· όταν είναι εμφανείς, συχνά σημαίνει παθολογία άνω άκρου ή συστηματικό αίτιο.
- Κριτήριο: >5 mm θεωρείται παθολογικό.
- Πράξη: US ± CORE/FNA εάν επιμένουν ή έχουν ύποπτη μορφολογία.
5) Βουβωνικοί
- Συχνά αίτια: δέρμα/μαλακά μόρια κάτω άκρων, αφροδίσιες λοιμώξεις, δερματίτιδες.
- Υποψία: επιμονή, σκληρία/ακινησία, >1.5–2 cm, συνοδός βλάβη δέρματος ή υποψία μελανώματος/ουρογεννητικών καρκίνων.
- Πράξη: αν υπάρχει υποψία λεμφώματος, προτιμήστε άλλο προσβάσιμο κόμβο για βιοψία λόγω χαμηλότερης διαγνωστικής απόδοσης της βουβωνικής.
6) Ιγνυακοί (οπίσθιο γόνατος)
- Σημείο-κλειδί: πρακτικά κάθε ψηλαφητός ιγνυακός θεωρείται μη φυσιολογικός.
- Συσχετίσεις: παθολογία κάτω άκρου, μελάνωμα.
- Πράξη: US ± CORE αν εμμένει/ύποπτος.
7) Μεσοθωρακικοί/λεμφαδένες πύλης του πνεύμονα
- Εντοπίζονται κυρίως σε CT/PET.
- Πράξη: για διάγνωση ή σταδιοποίηση (π.χ. πνεύμονας), προτιμάται EBUS-TBNA ή διαοισοφαγική FNA· μεσοθωρακοσκόπηση όταν απαιτείται πλήρες δείγμα.
8) Ενδοκοιλιακοί (μεσεντέριοι/οπισθοπεριτοναϊκοί/πυελικοί)
- Ερμηνεία: μας ενδιαφέρει ο βραχύς άξονας και το πρότυπο κατανομής. Μικροί διάσπαρτοι μπορεί να είναι αντιδραστικοί· συστάδες μεγαλύτερων με παθολογική μορφολογία είναι ύποπτες.
- Πράξη: US/CT-καθοδηγούμενη CORE για ιστολογία όταν χρειάζεται τεκμηρίωση.
Mini “decision table” για γρήγορη κλινική χρήση
| Σενάριο | Επόμενο βήμα | Αιτιολόγηση |
|---|---|---|
| Εντοπισμένη, χαμηλού κινδύνου, <2–4 εβδομ. | Παρακολούθηση ± στοχευμένη αγωγή | Πιθανός αντιδραστικός κόμβος που θα υποχωρήσει |
| Επιμονή >2–4 εβδομ. ή ύποπτη κλινική εικόνα | US + βασικός εργαστηριακός | Επιβεβαίωση μορφολογίας/αναζήτηση λοιμώδους αιτίου |
| Υπερκλείδιος ή ύποπτα US ευρήματα | CORE (ή εξαιρετική αν υποπτευόμαστε λέμφωμα) | Χρειάζεται επαρκές ιστοτεμάχιο για οριστική διάγνωση |
| Γενικευμένη λεμφαδενοπάθεια | Επέκταση εργαστηριακού + απεικόνιση ± βιοψία | Υποψία συστηματικής νόσου |
| Ανοσοκαταστολή | Χαμηλότερο κατώφλι για βιοψία | Υψηλότερος κίνδυνος άτυπων λοιμώξεων/νεοπλασιών |
Ο Ρόλος του χειρουργού:
Ο γενικός χειρουργός έχει κεντρικό ρόλο στη διαγνωστική και θεραπευτική αλυσίδα της λεμφαδενοπάθειας: αξιολογεί την κλινική πιθανότητα σοβαρής υποκείμενης νόσου, επιλέγει τον κατάλληλο λεμφαδένα (μεγαλύτερο/πιο ύποπτο/πιο προσβάσιμο) και τη βέλτιστη μέθοδο βιοψίας (FNA, core needle ή εξαιρετική), σε συντονισμό με ακτινολόγο και παθολογοανατόμο ώστε να εξασφαλιστεί επαρκές και σωστά διαχειρισμένο δείγμα για ανοσοϊστοχημεία και ροή (ιδίως όταν υποπτευόμαστε λέμφωμα). Παράλληλα, μεριμνά για προεγχειρητική βελτιστοποίηση (αιμόσταση, αντιπηκτικά, αποφυγή κορτικοστεροειδών όταν αναμένεται να αλλοιώσουν την ιστολογία), ενημερώνει τον ασθενή για οφέλη/κινδύνους κάθε τεχνικής και επιλέγει ελάχιστα επεμβατικές προσπελάσεις όταν ενδείκνυνται, ώστε να μειωθεί η νοσηρότητα.
Στο πλαίσιο αυτό, ο Γεώργιος Σάμπαλης, Γενικός Χειρουργός, Διευθυντής Χειρουργικής (Λαπαροσκοπικής & Ρομποτικής) στο Ιατρικό Κέντρο Αθηνών και Πρόεδρος του Δ.Σ. της ΕΕΕΧ, συνδυάζει εξειδίκευση στις σύγχρονες ελάχιστα επεμβατικές τεχνικές με οργανωτικό ρόλο στη διεπιστημονική λήψη αποφάσεων, διασφαλίζοντας ότι η βιοψία λεμφαδένα πραγματοποιείται στον σωστό ασθενή, στο σωστό σημείο, με τη σωστή μέθοδο και με μέγιστη διαγνωστική απόδοση.
FAQ – Συχνές ερωτήσεις
1. Τι είναι η βιοψία λεμφαδένα και γιατί χρειάζεται;
Η βιοψία λεμφαδένα είναι μια μικρή χειρουργική πράξη κατά την οποία αφαιρείται όλος ή τμήμα του λεμφαδένα για ιστολογική εξέταση. Χρησιμοποιείται όταν η διόγκωση επιμένει ή έχει ύποπτα χαρακτηριστικά, ώστε να αποσαφηνιστεί αν πρόκειται για λοίμωξη, φλεγμονή, λέμφωμα ή μεταστατική κακοήθεια.
2. Πότε πρέπει να ανησυχήσω για έναν διογκωμένο λεμφαδένα;
Ανησυχούμε όταν η διόγκωση διαρκεί πάνω από 3–4 εβδομάδες, όταν ο λεμφαδένας είναι σκληρός, ακίνητος, ανώδυνος, αυξάνεται σταδιακά σε μέγεθος ή συνοδεύεται από πυρετό, νυχτερινές εφιδρώσεις και ανεξήγητη απώλεια βάρους. Σε αυτές τις περιπτώσεις απαιτείται εκτίμηση από ειδικό και συχνά βιοψία.
3. Πώς γίνεται η βιοψία λεμφαδένα; Πονάει;
Η βιοψία γίνεται συνήθως με τοπική ή ελαφρά γενική αναισθησία, μέσω μικρής τομής στο δέρμα. Ο λεμφαδένας αφαιρείται ολόκληρος (εξαιρετική βιοψία) ή λαμβάνεται κύλινδρος ιστού με ειδική βελόνη (core needle). Η διαδικασία είναι γρήγορη, ο πόνος ελάχιστος και ελέγχεται εύκολα με ήπια αναλγητικά.
4. Υπάρχουν κίνδυνοι ή επιπλοκές μετά από βιοψία λεμφαδένα;
Οι επιπλοκές είναι σπάνιες και συνήθως ήπιες, όπως μικρό αιμάτωμα, τοπική φλεγμονή ή ευαισθησία στο σημείο της τομής. Πολύ σπάνια μπορεί να παρουσιαστεί λοίμωξη ή τραυματισμός γειτονικών δομών. Η επέμβαση θεωρείται ασφαλής όταν γίνεται από εξειδικευμένο χειρουργό και σε οργανωμένο νοσοκομείο.
5. Πότε βγαίνουν τα αποτελέσματα της βιοψίας και τι σημαίνουν;
Τα πρώτα αποτελέσματα ιστολογικής εξέτασης είναι συνήθως διαθέσιμα σε 3–7 ημέρες, ανάλογα με την περίπτωση και τις εξειδικευμένες χρώσεις που απαιτούνται. Η απάντηση δείχνει αν πρόκειται για καλοήθη φλεγμονώδη βλάβη, λέμφωμα, μεταστατική νόσο ή άλλη πάθηση και καθοδηγεί το επόμενο βήμα της θεραπείας σε συνεργασία με τον θεράποντα ιατρό.
Τελευταία ιατρική επιμέλεια: 01/12/2025 από τον Δρ. Γεώργιος Σάμπαλης, MD, PhD
