Υδροκήλη ή βουβωνοκήλη; Πώς ξεχωρίζουν στο όσχεο
Η διόγκωση στο όσχεο μπορεί να οφείλεται σε υδροκήλη ή σε βουβωνοκήλη που κατεβαίνει προς τον όρχι. Δείτε πώς ξεχωρίζουν, ποια σημεία ανησυχούν και πότε χρειάζεται έλεγχος.
Κήλες – Ενημέρωση για προβλήματα που αφορούν τις κήλες κοιλιακού τοιχώματος
Η διόγκωση στο όσχεο μπορεί να οφείλεται σε υδροκήλη ή σε βουβωνοκήλη που κατεβαίνει προς τον όρχι. Δείτε πώς ξεχωρίζουν, ποια σημεία ανησυχούν και πότε χρειάζεται έλεγχος.
Αν έχετε βουβωνοκήλη, δείτε τι πρέπει να αποφεύγετε μέχρι την εξέταση ή το χειρουργείο: άρση βάρους, έντονη άσκηση, σφίξιμο, βήχα και πότε χρειάζεται άμεση εκτίμηση.
Η μηροκήλη συνήθως οδηγείται σε χειρουργείο λόγω αυξημένου κινδύνου περίσφιξης. Δείτε πότε χρειάζεται επέμβαση και ποιες τεχνικές εφαρμόζονται.
Η μετεγχειρητική κήλη δεν χρειάζεται πάντα άμεσο χειρουργείο. Δείτε πότε χειρουργείται, πότε παρακολουθείται και ποια τεχνική αποκατάστασης μπορεί να επιλεγεί.
Η port-site κήλη μπορεί να εμφανιστεί σε παλιά λαπαροσκοπική τομή, κυρίως στον ομφαλό ή σε trocar 10–12 mm. Δείτε πότε ένα φούσκωμα ή ενόχλημα χρειάζεται έλεγχο.
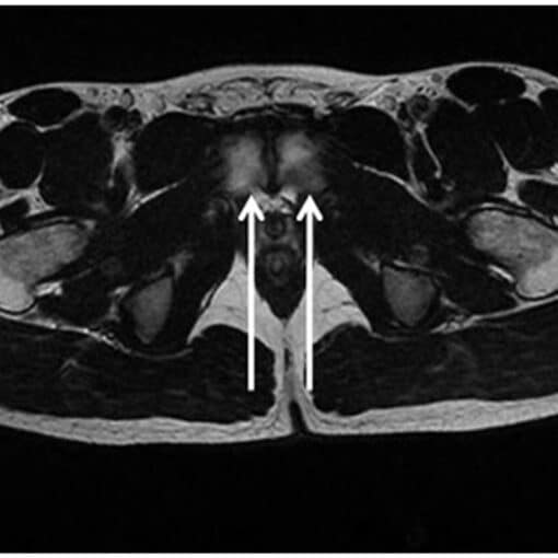
Η μαγνητική τομογραφία μπορεί να βοηθήσει σημαντικά στην κήλη των αθλητών, αλλά δεν αντικαθιστά την κλινική εξέταση. Δείχνει βλάβες σε προσαγωγούς, ηβική σύμφυση και ισχίο, αλλά έχει και όρια.
Η κήλη των αθλητών δεν χρειάζεται πάντα χειρουργείο. Η απόφαση εξαρτάται από την αποτυχία της συντηρητικής αγωγής, τον πόνο στην επιστροφή στην προπόνηση και το επίπεδο του αθλητή.
Το κόστος επέμβασης ομφαλοκήλης διαφέρει ανάλογα με το μέγεθος της κήλης, το πλέγμα, τη νοσηλεία και την επιλογή ανοικτής, λαπαροσκοπικής ή ρομποτικής τεχνικής.
Η ανάρρωση μετά από επέμβαση ομφαλοκήλης διαφέρει ανά ασθενή. Δείτε τι ισχύει για πόνο, εργασία, βάρος, άσκηση και ποια σημεία χρειάζονται ιατρική εκτίμηση.
Η e-TEP και η TEP είναι δύο ελάχιστα επεμβατικές εξωπεριτοναϊκές τεχνικές για τη βουβωνοκήλη. Δείτε τις βασικές διαφορές, τα πλεονεκτήματα και τα κριτήρια επιλογής.
Τελευταία νέα
Κατηγορίες
ΆΡΙΣΤΗ Με βάση 108 κριτικές Δημοσιεύτηκε στο Μαρία ΚαμπασακάληΤο Trustindex επαληθεύει ότι η αρχική πηγή της κριτικής είναι Google. Πρόσφατα υποβλήθηκα σε χολοκυστεκτομή και θέλω να ευχαριστήσω θερμά τον εξαιρετικό συνάδελφο κ. Σάμπαλη, την αναισθησιολόγο κ. Λάσκαρη και την υπόλοιπη ομάδα του, την γραμματέα του κ. Σάμπαλη την κ. Βέργου, καθώς και όλο το προσωπικό του Ιατρικού Κέντρου Αθηνών στο Μαρούσι, για τον επαγγελματισμό, την ανθρωπιά και την υπομονή τους. Δεν έχω λόγια πραγματικά κ. Σάμπαλη! Τα πέντε αστέρια είναι λίγα.Δημοσιεύτηκε στο Astro xdΤο Trustindex επαληθεύει ότι η αρχική πηγή της κριτικής είναι Google. ΕΞΑΙΡΕΤΗ ΑΝΤΙΜΕΤΩΠΙΣΗ ΚΑΙ ΣΕ ΕΠΑΓΓΕΛΜΑΤΙΚΟ ΑΛΛΑ ΚΑΙ ΣΕ ΠΡΟΣΩΠΙΚΟ. ΕΠΙΠΕΔΟ. ΓΙΑΤΡΟΣ ΣΤΟΥ ΟΠΟΙΟΥ ΤΗΝ ΚΡΙΣΗ ΜΠΟΡΕΙΣ ΝΑ ΒΑΣΙΖΕΣΑΙ.Δημοσιεύτηκε στο ΠΟΛΥΞΕΝΗΤο Trustindex επαληθεύει ότι η αρχική πηγή της κριτικής είναι Google. Θα ήθελα να ευχαριστήσω τον κύριο Σάμπαλη, τον εξαιρετικό αυτόν γιατρό και άνθρωπο για την επιτυχή χειρουργική επέμβαση εντέρου στην οποία υποβλήθηκα. Αισθάνθηκα από την πρώτη στιγμή που τον συνάντησα ότι έχω μπροστά μου έναν εξαιρετικό άνθρωπο με μεγάλη εμπειρία και βαθιά γνώση της λαπαροσκοπικής χειρουργικής. Η ηρεμία του, η ευγένειά του, το χαμόγελό του, η σιγουριά του και η αμεσότητα στην επικοινωνία του μαζί μου, ενέπνευσαν σε εμένα απόλυτη εμπιστοσύνη και ασφάλεια. Πραγματικά, όλα πήγαν εξαιρετικά χωρίς καμία παρενέργεια και με πολύ γρήγορη ανάρρωση. Κύριε Σάμπαλη σας ευχαριστώ θερμά εσάς και τους συνεργάτες σας και ήταν μεγάλη μου τιμή που σας γνώρισα.Δημοσιεύτηκε στο Σταυρούλα ΤρανούληΤο Trustindex επαληθεύει ότι η αρχική πηγή της κριτικής είναι Google. Εκανα αφαιρεση παραθυρεοειδους και ηταν ολα τοσο ηρεμα ,απ την αρχη που ειδα τον γιατρο αισθανθηκα ασφαλεια, χωρις καμια ταλαιπωρια με βοηθησε στι με τη μαγνητικη και τον προελεγχο ,σαφεις οι οδηγιες μετα την επεμβαση γραπτες εξαιρετικη η γραμματεας του γιατρου ολα αψογαΔημοσιεύτηκε στο Dimitris StefanopoulosΤο Trustindex επαληθεύει ότι η αρχική πηγή της κριτικής είναι Google. Ο κ.Σάμπαλης είναι ο συνάδελφος που πραγματικά χαίρομαι να προτείνω στους ασθενείς μου, γνωρίζοντας ότι πολύ δύσκολα θα βρουν ισάξια αντιμετώπιση κάπου αλλού. Τιμή μου που σας γνωρίζω τόσα χρόνια και που υπήρξα και εγώ ασθενής σας. Να είστε πάντα καλά!Δημοσιεύτηκε στο Sevensevens 7Το Trustindex επαληθεύει ότι η αρχική πηγή της κριτικής είναι Google. Επέμβαση κιρσοκηλης πριν 1 έτος, λαπαροσκοπικα , εγινε πρόσφατα μια προληπτική επανεξέταση η οποια επιβεβαίωσε την άρτια και άριστη επέμβαση του κου Σιαμπαλη. Τον ευχαριστώ θερμά εκείνον και το υπέροχο υποστηρηκτικο προσωπικό του γραφείου του!Δημοσιεύτηκε στο ANGELOS AMDITISΤο Trustindex επαληθεύει ότι η αρχική πηγή της κριτικής είναι Google. Εξαιρετικος Γιατρος και Ανθρωπος. εδειξε μεγαλο ενδιαφερον πριν και μετα την ρομποτικη εγχειριση κοιλιοκηλης.Αριστες γνωσεις, τεραστια εμπειρια εξαιρετικη ομαδα. Σας ευχαριστω παρα πολυ ολους σας.Δημοσιεύτηκε στο antonios andrianopoulosΤο Trustindex επαληθεύει ότι η αρχική πηγή της κριτικής είναι Google. Κάναμε επέμβαση με μέθη για αφαίρεση κύστης κόκκυγα και μετά λόγω του ότι η κύστη ήταν μικρή κάναμε ράμματα. Όλη η διαδικασία της επέμβασης πήγε εξαιρετικά και οι οδηγίες για μετά την επέμβαση μου δόθηκαν γραπτά και ήταν σαφείς.Δημοσιεύτηκε στο Κωνσταντίνος ΠαπουτσήςΤο Trustindex επαληθεύει ότι η αρχική πηγή της κριτικής είναι Google. Ο κύριος Σάμπαλης πρόκειται για εξαιρετικό άνθρωπο και επιστήμονα. Από την πρώτη κιόλας συνάντησή μας, έγινε μια πλήρης αποσαφήνιση της κατάστασής μου (απόστημα κύστης κόκκυγος) και στην συνέχεια επήλθε μια άμεση χειρουργική διαδικασία (σε μόλις μία μέρα από την διάγνωση). Αυτό που με εξέπληξε θετικά ήταν η μετεγχειρητική αντιμετώπιση του ιατρού στο πρόσωπό μου, καθώς ήταν πάντα διαθέσιμος, είτε με τα τακτικά ραντεβού (ανά 2 μέρες!!), είτε και τηλεφωνικά. Ένιωσα σε όλο το διάστημα της θεραπείας μου ασφαλής στα χέρια του και είμαι πάρα πολύ ευγνώμων για τα όσα μου προσέφερε. Το ευχαριστώ είναι πολύ λίγο, όπως επίσης και τα 5 αστέρια της αξιολόγησης! P.S. Η γραμματέας του κυρίου Σάμπαλη είναι εξίσου άριστη επαγγελματίας και πολύ τυπική. Την ευχαριστώ εξίσου θερμά για την διαρκή επικοινωνία που αναπτύξαμε.
Έχετε ερωτήσεις; Θέλετε βοήθεια;
–Θα χαρούμε να απαντήσουμε τις ερωτήσεις σας.
-Εγγραφείτε στο Φόρουμ για να καταθέσετε τις απορίες σας και τις ερωτήσεις σας.