Διευθυντής Χειρουργός στο Ιατρικό Κέντρο Αθηνών

Νέα

Δρ. Γεώργιος Σάμπαλης, MD, PhD Διευθυντής Γενικής, Λαπαροσκοπικής και Ρομποτικής Χειρουργικής – Ιατρικό Κέντρο Αθηνών Γενικός Χειρουργός – Λαπαροσκόπος. Διευθυντής […]

Γεώργιος Σάμπαλης, MD, PhD – Γενικός Χειρουργός, Λαπαροσκόπος & Ρομποτικός Χειρουργός
Δ/ντης Γεν. & Λαπαροσκοπικής Χειρουργικής – Ιατρικό Κέντρο Αθηνών τέως Πρόεδρος ΕΕΕΧ (2023–2025) Βιογραφικό
Καλέστε Άμεσα στο 6977359925

Αδενομύωση χοληδόχου κύστεως

Τι είναι η αδενομύωση (αδενομυωμάτωση) χοληδόχου κύστεως;

Η Αδενομύωση χοληδόχου κύστεως είναι μια καλοήθης, επίκτητη αλλοίωση του τοιχώματος της χοληδόχου κύστης. Χαρακτηρίζεται από:

  • υπερπλασία του βλεννογόνου
  • πάχυνση και υπερπλασία της μυϊκής στιβάδας
  • σχηματισμό μικρών ενδοτοιχωματικών κύστεων, των γνωστών Rokitansky–Aschoff κολπωμάτων (RAS)

Πρόκειται για υπερπλαστική χολοκυστάτωση και όχι για όγκο με την κλασική έννοια. Παρ’ όλα αυτά, η εικόνα της στις απεικονιστικές εξετάσεις πολλές φορές μιμείται καρκίνο χοληδόχου κύστης, δημιουργώντας διαγνωστική αβεβαιότητα.

Στη διεθνή βιβλιογραφία θα τη συναντήσουμε ως gallbladder adenomyomatosis ή adenomyomatous hyperplasia of the gallbladder.

Αδενομύωση  χοληδόχου κύστεως

Επιδημιολογία

  • Αποτελεί συχνό τυχαίο εύρημα σε υπερηχογράφημα ή σε ιστολογική εξέταση μετά από χολοκυστεκτομή.
  • Αναφέρεται σε περίπου 1–9% των χολοκυστεκτομών και των αυτοψιών.
  • Τυπικά εμφανίζεται σε μέσης ηλικίας ενήλικες, χωρίς σαφή υπεροχή φύλου.
  • Συχνά συνυπάρχει με χολολιθίαση και χρόνια χολοκυστίτιδα, γεγονός που εξηγεί γιατί ανιχνεύεται συχνά σε ασθενείς με συμπτώματα από τη χοληδόχο κύστη.

Παθογένεια – Πώς δημιουργείται;

Η παθογένεια της αδενομυωμάτωσης δεν έχει αποσαφηνιστεί πλήρως, ωστόσο τα δεδομένα δείχνουν:scienceopen.com+1

  • Χρόνια αυξημένη ενδοκυστική πίεση στη χοληδόχο κύστη (π.χ. λόγω χολολιθίασης ή δυσκινησίας)
  • Επαναλαμβανόμενη φλεγμονή και μικροτραυματισμοί του τοιχώματος
  • Αντίδραση προσαρμογής με υπερπλασία βλεννογόνου και μυϊκής στιβάδας
  • Προοδευτική εμβύθιση του βλεννογόνου μέσα στη μυϊκή στιβάδα, με σχηματισμό των Rokitansky–Aschoff κολπωμάτων, τα οποία συχνά περιέχουν χολή, μικρολίθους ή κρυστάλλους χοληστερόλης.

Σε ιστολογικό επίπεδο, γι’ αυτό τον λόγο θεωρείται υπερπλαστική – μη νεοπλασματική βλάβη με καλοήθη βιολογική συμπεριφορά.


Τύποι αδενομυωμάτωσης

Ανάλογα με την κατανομή στο τοίχωμα της χοληδόχου κύστης διακρίνονται:SpringerOpen+1

  1. Εντοπισμένος (fundal) τύπος
    • Ο πιο συχνός.
    • Περιορισμένη πάχυνση στο θόλο της χοληδόχου κύστης, με το υπόλοιπο τοίχωμα φυσιολογικό.
  2. Τμηματικός (segmental) τύπος
    • Πάχυνση και στένωση ενός τμήματος του σώματος της χοληδόχου κύστης.
    • Μπορεί να δημιουργεί “ωρολογιακή” ή “hourglass” μορφή.
  3. Διάχυτος τύπος
    • Γενικευμένη πάχυνση όλου του τοιχώματος.
    • Συνοδεύεται συχνά από συμπτώματα και δυσκολία στη διαφορική διάγνωση από κακοήθεια.

Ο εντοπισμένος fundal τύπος είναι εκείνος που συχνότερα παρακολουθούμε συντηρητικά, εφόσον είναι ασυμπτωματικός και η απεικονιστική εικόνα είναι τυπική.


Συμπτώματα και κλινική εικόνα

Στη μεγάλη πλειονότητα των περιπτώσεων, η αδενομυωμάτωση είναι ασυμπτωματική και ανακαλύπτεται τυχαία.

Όταν υπάρχουν συμπτώματα, αυτά συνήθως είναι:

  • Αμβλύ άλγος ή δυσφορία στο δεξιό υποχόνδριο, συχνά σαν κολικός
  • Επεισόδια τύπου χολικού κολικού μετά από λιπαρά γεύματα
  • Συνοδά συμπτώματα από συνυπάρχουσα χολολιθίαση ή οξεία/χρόνια χολοκυστίτιδα
  • Σπανιότερα, εικόνα οξείας χολοκυστίτιδας ή άτυπου άλγους, ιδίως σε διάχυτη μορφή

Στις περιπτώσεις με συμπτώματα, συχνά η διάκριση αν αυτά οφείλονται κυρίως στην αδενομυωμάτωση ή στη χολολιθίαση είναι θεωρητική, γιατί πρακτικά η αντιμετώπιση είναι ίδια: χολοκυστεκτομή.


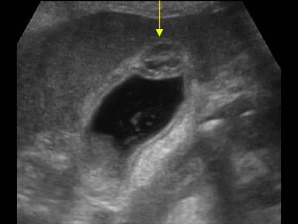
Διάγνωση – Ρόλος υπερήχου, CT και MRI

Υπερηχογράφημα άνω κοιλίας

Το υπερηχογράφημα είναι η εξέταση εκλογής:

Τυπικά ευρήματα:

  • Πάχυνση του τοιχώματος της χοληδόχου κύστης
  • Μικρές ενδοτοιχωματικές κύστεις (Rokitansky–Aschoff κολπώματα)
  • Χαρακτηριστικά “comet-tail” ή “ring-down” artifacts πίσω από μικροκυστικές εστίες (αντιπροσωπεύουν κρυστάλλους χοληστερόλης μέσα στα RAS)
  • Διάκριση μεταξύ εντοπισμένης, τμηματικής και διάχυτης μορφής ανάλογα με την έκταση της πάχυνσης.

Η παρουσία τυπικών comet-tail artifacts μέσα σε παχύ, αλλά ομαλό τοίχωμα χοληδόχου κύστης είναι σχεδόν παθογνωμονική για αδενομυωμάτωση.

Υπερηχογράφημα άνω κοιλίας

Αξονική και μαγνητική τομογραφία

Σε περιπτώσεις που η υπερηχογραφική εικόνα δεν είναι τυπική ή υπάρχει υποψία καρκίνου, η CT και κυρίως η MRI (MRCP) βοηθούν στη διάγνωση:

  • Στην CT αναγνωρίζεται το λεγόμενο “rosary sign”, από την παρουσία ενδοτοιχωματικών κυστικών διατάσεων κατά μήκος του παχυσμένου τοιχώματος.
  • Στην MRI, σε T2-weighted ακολουθίες, τα RAS εμφανίζονται ως υπερτασικά στικτά ελλείμματα κατά μήκος του τοιχώματος, δημιουργώντας το χαρακτηριστικό “pearl-necklace sign” (σημείο “κολιέ από μαργαριτάρια”).

Η επιβεβαίωση των Rokitansky–Aschoff κολπωμάτων είναι το κλειδί για να τεθεί με ασφάλεια η διάγνωση και να αποφευχθούν αχρείαστες χολοκυστεκτομές σε ασυμπτωματικούς ασθενείς.


Διαφορική διάγνωση – Σχέση με καρκίνο χοληδόχου κύστης

Η κύρια δυσκολία στην πράξη είναι η διάκριση μεταξύ καλοήθους αδενομυωμάτωσης και:

  • Καρκίνου χοληδόχου κύστης
  • Άλλων μορφών εστιακής πάχυνσης τοιχώματος (χρόνια χολοκυστίτιδα, χοληστερόλωση, πολύποδες κ.ά.)

Τα ιστολογικά δεδομένα δείχνουν ότι:

  • Η αδενομυωμάτωση θεωρείται καλοήθης βλάβη.
  • Έχουν περιγραφεί συσχετίσεις, κυρίως του τμηματικού τύπου, με αυξημένη συχνότητα καρκίνου χοληδόχου κύστης στην ίδια περιοχή, αλλά δεν έχει αποδειχθεί άμεση “προκαρκινική” σχέση.

Για τον κλινικό χειρουργό, το πρακτικό ερώτημα είναι:

Μπορώ να είμαι 100% σίγουρος από την απεικονιστική εικόνα ότι πρόκειται για καλοήθη αδενομυωμάτωση και όχι για αρχόμενο καρκίνο;

Όταν η απάντηση είναι όχι, η ένδειξη κλίνει προς λαπαροσκοπική/ρομποτική χολοκυστεκτομή, τόσο διαγνωστικά όσο και θεραπευτικά.


Πότε χρειάζεται χειρουργείο;

Οι βασικές ενδείξεις για χολοκυστεκτομή σε ασθενείς με αδενομυωμάτωση χοληδόχου κύστης είναι:

  1. Συμπτωματική νόσος
    • Επαναλαμβανόμενος πόνος στο δεξιό υποχόνδριο
    • Επεισόδια χολικού κολικού
    • Οξεία ή χρόνια χολοκυστίτιδα
  2. Συνυπάρχουσα χολολιθίαση
    • Όταν υπάρχει ήδη ένδειξη χολοκυστεκτομής για πέτρες στη χολή, η παρουσία αδενομυωμάτωσης ενισχύει την απόφαση για χειρουργείο.
    • Εσωτερική διασύνδεση: σελίδα Πέτρες στη χολή (χολολιθίαση)
  3. Διάχυτος ή τμηματικός τύπος με απεικονιστική αμφιβολία
    • Όταν δεν μπορεί να αποκλειστεί αξιόπιστα η κακοήθεια, η χειρουργική αφαίρεση θεωρείται ασφαλέστερη επιλογή.
  4. Εμμένουσα ή επιδεινούμενη πάχυνση τοιχώματος στην παρακολούθηση
    • Αύξηση πάχους, αλλαγή μορφολογίας, νέα οζώδη στοιχεία ή ύποπτα ευρήματα στην MRI/CT.

Στον ασυμπτωματικό, εντοπισμένο fundal τύπο, με τυπική εικόνα σε υπερηχογράφημα/MRI, μπορεί να επιλεγεί συντηρητική παρακολούθηση με περιοδικό US, εφόσον ο ασθενής ενημερωθεί πλήρως και συμφωνεί.


Χειρουργική αντιμετώπιση – Λαπαροσκοπική & ρομποτική χολοκυστεκτομή

Η θεραπεία εκλογής, όταν υπάρχει ένδειξη, είναι η ελάχιστα επεμβατική χολοκυστεκτομή:

  • Λαπαροσκοπική χολοκυστεκτομή, η καθιερωμένη μέθοδος, με μικρές τομές, άμεση κινητοποίηση και ταχεία ανάρρωση.
  • Ρομποτική χολοκυστεκτομή σε επιλεγμένα περιστατικά, με πλεονεκτήματα τρισδιάστατης όρασης και αυξημένης ευελιξίας εργαλείων, ιδίως σε δύσκολες ανατομίες ή υποψία επιπλεγμένης νόσου.

Στην ιστοσελίδα σας μπορεί να συνδεθεί με τις αντίστοιχες σελίδες επεμβάσεων, π.χ.:

Η μετεγχειρητική πορεία είναι συνήθως εξαιρετική, με σύντομη νοσηλεία, γρήγορη επάνοδο στις δραστηριότητες και οριστική απαλλαγή από τα συμπτώματα και το διαγνωστικό άγχος.


Πρόγνωση και παρακολούθηση

  • Η αδενομυωμάτωση θεωρείται καλοήθης πάθηση με πολύ καλή πρόγνωση.
  • Μετά από χολοκυστεκτομή, δεν απαιτείται ειδική ογκολογική παρακολούθηση, πέραν της τυπικής μετεγχειρητικής φροντίδας.
  • Σε ασθενείς που παρακολουθούνται συντηρητικά, το συνιστώμενο σχήμα είναι:
    • Περιοδικό υπερηχογράφημα (π.χ. ανά 6–12 μήνες, εξατομικευμένα)
    • Επανεκτίμηση σε περίπτωση νέων συμπτωμάτων ή αλλαγής της απεικονιστικής εικόνας.

Συχνές Ερωτήσεις (FAQ)

1. Τι είναι η αδενομυωμάτωση χοληδόχου κύστης;
Η αδενομυωμάτωση (ή αδενομύωση) χοληδόχου κύστης είναι μια καλοήθης υπερπλαστική πάθηση του τοιχώματος της χοληδόχου κύστης. Ο βλεννογόνος “βυθίζεται” μέσα στη μυϊκή στιβάδα, δημιουργώντας μικρές ενδοτοιχωματικές κύστεις (Rokitansky–Aschoff κολπώματα). Συχνά ανακαλύπτεται τυχαία σε υπερηχογράφημα ή μετά από χολοκυστεκτομή.


2. Είναι επικίνδυνη; Μπορεί να εξελιχθεί σε καρκίνο;
Η αδενομυωμάτωση θεωρείται καλοήθης βλάβη και στις περισσότερες περιπτώσεις δεν εξελίσσεται σε καρκίνο. Ωστόσο, σε ορισμένους ασθενείς – κυρίως με διάχυτη ή τμηματική μορφή – η απεικονιστική εικόνα μπορεί να μοιάζει με κακοήθεια. Σε αυτές τις περιπτώσεις συστήνεται συνήθως χολοκυστεκτομή, τόσο για την αντιμετώπιση των συμπτωμάτων όσο και για τον ασφαλή αποκλεισμό καρκίνου.


3. Ποια συμπτώματα μπορεί να προκαλέσει;
Πολλοί ασθενείς είναι εντελώς ασυμπτωματικοί. Όταν υπάρχουν συμπτώματα, συνήθως είναι:

  • πόνος ή “βάρος” στο δεξιό υποχόνδριο
  • επεισόδια τύπου χολικού κολικού, ειδικά μετά από λιπαρά γεύματα
  • κρίσεις οξείας ή χρόνιας χολοκυστίτιδας, αν συνυπάρχουν πέτρες στη χολή

Γι’ αυτό, αν έχετε επαναλαμβανόμενο πόνο στη δεξιά άνω κοιλιά, χρειάζεται εκτίμηση από ειδικό και υπερηχογραφικό έλεγχο.


4. Πώς γίνεται η διάγνωση; Αρκεί το υπερηχογράφημα;
Η πρώτη και βασική εξέταση είναι το υπερηχογράφημα άνω κοιλίας, όπου ο έμπειρος ακτινολόγος μπορεί να αναγνωρίσει: πάχυνση του τοιχώματος, μικρές ενδοτοιχωματικές κύστεις και χαρακτηριστικά “comet-tail” artifacts. Σε περιπτώσεις που η εικόνα δεν είναι τυπική ή υπάρχει υποψία καρκίνου, μπορεί να χρειαστεί αξονική ή μαγνητική τομογραφία (MRI/MRCP) για πιο λεπτομερή αξιολόγηση.


5. Πότε χρειάζεται χειρουργείο και ποια μέθοδος προτιμάται;
Χειρουργείο (χολοκυστεκτομή) συνήθως συστήνεται όταν:

  • έχετε συμπτώματα (πόνο, κολικούς, κρίσεις χολοκυστίτιδας)
  • συνυπάρχουν πέτρες στη χολή (χολολιθίαση)
  • η απεικονιστική εικόνα δεν επιτρέπει με σιγουριά τον αποκλεισμό κακοήθειας
  • υπάρχει διάχυτη ή τμηματική μορφή με εμμένουσα πάχυνση του τοιχώματος

Η επέμβαση πραγματοποιείται σήμερα σχεδόν πάντα με λαπαροσκοπική ή ρομποτική χολοκυστεκτομή, προσφέροντας μικρές τομές, λιγότερο πόνο και ταχεία ανάρρωση, όταν γίνεται από εξειδικευμένο γενικό, λαπαροσκοπικό & ρομποτικό χειρουργό.

Τελευταία ιατρική επιμέλεια: 14/12/2025 από τον Δρ. Γεώργιος Σάμπαλης, MD, PhD

author avatar
Δρ. Γεώργιος Σάμπαλης, MD, PhD Διευθυντής Γενικής, Λαπαροσκοπικής και Ρομποτικής Χειρουργικής - Ιατρικό Κέντρο Αθηνών
Γενικός Χειρουργός - Λαπαροσκόπος. Διευθυντής Γενικής, Λαπαροσκοπικής και Ρομποτικής Χειρουργικής. Ιατρικό Κέντρο Αθηνών. τέως Πρόεδρος ΔΣ της Ελληνικής Εταιρείας Ενδοσκοπικής Χειρουργικής.

Μπορεί να σας ενδιαφέρει επίσης…

Καλέστε άμεσα στο 6977359925
Κόστος Επέμβασης

Τι λένε οι ασθενείς

Έχετε ερωτήσεις; Θέλετε βοήθεια;

Θα χαρούμε να απαντήσουμε τις ερωτήσεις σας.

-Εγγραφείτε στο Φόρουμ για να καταθέσετε τις απορίες σας και τις ερωτήσεις σας.

Ρωτήστε το γιατρό
Κόστος νοσηλείας
Φόρουμ Surgery Online